Informacje dla pacjentów
To zestaw ćwiczeń stworzonych przez dwóch lekarzy: dr Sandrę Kahn i dr Simona Wonga z myślą o dzieciach, których buzie nie są zamknięte, a język nie spoczywa na podniebieniu.
Przyczyn takiej sytuacji może być wiele, m. in.: przerost migdałka gardłowego, migdałków podniebiennych, alergia, ale także zwężenie kości szczęk, skrócone wędzidełko językowe.
Zdarza się, że po usunięciu przeszkody uniemożliwiającej oddychanie przez nos (najczęściej to przerośnięty migdałek gardłowy), dziecko nadal funkcjonuje z otwartą buzią, ponieważ jego mięśnie mają zapisany patologiczny wzorzec kierujący język w dół.
Aby pomóc dziecku w zmianie tych wzorców, musimy wprowadzić ćwiczenia, które pomogą w przekształceniu nieprawidłowo funkcjonującego wzorca ruchowego w obrębie mięśni zamykających żuchwę w prawidłowy.
Trzeba pamiętać o tym, że organizm ludzki jest zbudowany z wielu mięśni, ścięgien i powięzi, które działają prawidłowo tylko wtedy, gdy ze sobą współpracują, czyli wtedy, gdy napięcie mięśniowe we wszystkich mięśniach, w tym, w mięśniach posturalnych, jest prawidłowe.
Dziecko w trakcie ćwiczeń gop-ex nie może pozostać samo, przez cały czas musi być kontrolowane przez rodzica, który staje się dyrygentem, prowadzącym dziecko ku zdrowiu.
Certyfikowany przez dr Marisę Santos terapeuta gop-ex przyznaje gwiazdki za poprawnie wykonany trening.
1. LEKARZ PEDIATRA – który kieruje dziecko, u którego podejrzewa zwężenie dróg oddechowych, wąskie podniebienie, nawracające infekcje, przerost migdałków do specjalistów którzy będą zajmowali się poprawą drożności dróg oddechowych dziecka.
2. LEKARZ OTOLARYNGOLOG – bada nos, nosogardło i uszy dziecka, aby stwierdzić, czy na drodze powietrza do płuc znajdują się jakieś przeszkody. Mogą to być obrzęk błony śluzowej nosa, obrzęk małżowin, skrzywienie przegrody nosowej, polipy w nosie, przerost migdałka gardłowego – tzw. „trzeciego” oraz migdałków podniebiennych. W uszach może występować nieprawidłowe napięcie błony bębenkowej, lub jej pęknięcie, a także płyn zapalny. Lekarz bada dziecko przy użyciu fiberoskopu- tzw. „kamerki”, która umożliwia na dotarcie wgłąb ciała dziecka. Jest to badanie nieinwazyjne, może być wykonywane wielokrotnie w celu monitorowania postępów leczenia.
Leczenie natomiast dzielimy na zachowawcze- przy zastosowaniu środków farmakologicznych oraz odpowiedniej higieny jamy nosowej lub chirurgiczne, polegające na przeprowadzeniu zabiegu chirurgicznego. Leczenie chirurgiczne umożliwia udrożnienie dróg oddechowych. Dziecko zostaje poddane narkozie, a chirurg laryngolog usuwa przerosły migdałek gardłowy lub migdałki podniebienne. Rozległość zabiegu (ilość tkanki usuwanej) zależy od wieku dziecka, stopnia przerostu oraz innych czynników, o których decyduje lekarz kwalifikując pacjenta do zabiegu).
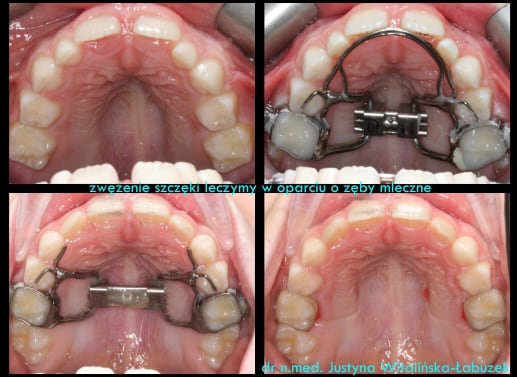
3. LEKARZ DENTYSTA – jego zadaniem jest ekspansja zwężonych kości szczęk. Anatomia człowieka jest taka, że zęby górne tkwią w dwóch, parzystych kościach szczęk. Te same kości budują dno jamy nosowej, dlatego współpraca lekarzy laryngologa oraz dentysty powinna być tak ścisła. Rozbudowa dolnego piętra (szczęki) sprawia, że poszerza się także górne piętro (nos) i dziecku oddycha się lepiej.
4. FIZJOTERAPEUTA (OSTEOPATA) – może być trenerem GOP-ex, ale przede wszystkim dzięki swoim umiejętnością pracy manualnej- pomaga w przywróceniu prawidłowego napięcia mięśni, bez którego nie ma szans na dalszy, harmonijny wzrost pacjenta. Dodatkowo, ważne jest stosowanie technik osteopatycznych w obrębie kości twarzoczaszki w fazie rozbudowy kości z zastosowaniem aparatów ortopedycznych, cementowanych na zębach. Pierwsza wizyta musi odbyć się zanim założymy aparat, najlepiej umówić wizytę po pobraniu wycisków pod aparat, a następnie po zacementowaniu tak, aby wspomagać pracę aparatu. Fizjoterapeuta czuwa nad kontrolą postawy dziecka, wizyty kontrolne powinny być przeprowadzane regularnie, pamiętając o tym, ze dziecko w czasie skoków wzrostowych może wymagać wsparcia, aby nie doszło do wystąpienia zaburzenia wzrostu szkieletu osiowego (kręgosłupa) oraz kości długich, które rosną dużo dłużej niż czaszka.
5. LOGOPEDA (NEUROLOGOPEDA) – prowadzi trening GOP-ex, przygotowuje dziecko do pracy manualnej lekarza dentysty (czasami dzieci z nadwrażliwością dotykową muszą skorzystać z terapii manualnej, aby zostać przygotowane do pobrania wycisków, czy osadzenia aparatów w buzi). Po fazie ekspansji oraz usunięciu aparatów z jamy ustnej, konieczna jest kontrola czy udało się uzyskać prawidłową funkcję żucia i połykania, a w razie potrzeby rozpoczyna się logopedyczny trening języka. kontrola czy udało się uzyskać prawidłową funkcję żucia i połykania dorosłego. Logopeda odgrywa szczególną rolę podczas przygotowania dzieci do zabiegu chirurgicznej korekty wędzidełka języka. Przeprowadzenie w/w zabiegu bez przynajmniej miesięcznego przygotowania języka oraz treningu po zabiegu pod opieką logopedy może doprowadzić do powstania zrostów i braku poprawy lub pogorszenia ruchomości języka.
6. ASYSTENTKA / HIGIENISTKA STOMATOLOGICZNA – może prowadzić trening GOP-ex jeżeli ukończyła kurs, ale często pomaga lekarzowi w procedurach związanych z wykonywaniem wycisków pod aparat, czy przyzwyczajaniem dziecka do pracy lekarza w obrębie jamy ustnej. Wykonuje fotografie uzębienia i zabiegi higienizacyjne, konieczne do poprawnego osadzenia aparatów cementowanych na zębach. Cementowanie aparatu wymaga współpracy ze strony pacjenta, dlatego warto zainwestować czas i fundusze umawiając się na wizytę adaptacyjną, która przygotowuje dziecko do pracy lekarza. Dzięki temu unikną Państwo konieczności odraczania cementowania aparatu, co w przypadku lekarzy z bardzo napiętym grafikiem może znacznie opóźnić leczenie. Dodatkowo, osadzenie aparatu przy złej współpracy dziecka (zamykanie buzi, dotykanie zębów językiem) może skutkować odcementowaniem aparatu i koniecznością powtórnych wizyt w gabinecie.
Stałe kształcenie i poszerzanie swoich kompetencji jest wpisane w zawód lekarza i terapeuty. W XXI wieku wszystko zmienia się w zawrotnym tempie, nowa wiedza wymaga weryfikacji oraz wymiany doświadczeń między specjalistami po to, aby mogli coraz lepiej leczyć pacjentów.
Nasza społeczność, zgromadzona wokół pionierki wczesnego leczenia interdyscyplinarnego, dr Marisy Santos, profesora z Uniwersytetu w Buenos Aaires, jest nastawiona na działanie w grupach terapeutycznych oraz stałe podnoszenie swoich kompetencji pod okiem bardziej doświadczonych terapeutów i lekarzy.
Gwiazdki oznaczają stopień zaawansowania oraz doświadczenia terapeuty.
INFORMACJE DLA LEKARZY / TERAPEUTÓW
To kurs w formie wykładów online podzielonych na moduły, dedykowany lekarzom, lekarzom dentystom, fizjoterapeutom i logopedom, którzy chcą rozpocząć pracę zgodnie z protokołem interdyscyplinarnym wg dr Marisy Santos, opartą na ścisłej współpracy tych specjalistów w prowadzeniu dziecka ku zdrowiu.
Dr Marisa prowadzi kurs w języku angielskim, natomiast jest on na bieżąco tłumaczony na język polski.
Moduły określają poszczególne etapy kursu, wraz z kończeniem kolejnych modułów, stopień zaawansowania terapeuty rośnie, stopień ten jest określany gwiazdami gopex które widnieją przy nazwisku terapeuty, zasady zdobywania gwiazd gopex zostały wytłumaczone poniżej.
Integralną częścią Modułu 1 jest praktyczna nauka treningu GOPex, która umożliwia samodzielną pracę z pacjentem jako certyfikowany terapeuta metody GOPex.
To kurs stworzony z myślą o lekarzach dentystach, pedodontach i ortodontach. Podczas kursu online dr Marisa Santos dzieli się swoim 25-letnim doświadczeniem w leczeniu interdyscyplinarnym dzieci w wieku przedszkolnym. Konstrukcja kursu zakłada także omawianie studiów przypadków, przygotowanych przez lekarzy-kursantów, omawianych na forum. Taki system umożliwia zarówno bezpieczne rozpoczęcie pracy z dziećmi w wieku przedszkolnym, jak również zapoznanie się wieloma planami oraz wynikami leczenia innych uczestników kursu.
Jest kontynuacją poprzednich dwóch modułów i daje szansę lekarzom pracującym metodą „Wczesnego leczenia interdyscyplinarnego” na kolejne spotkania w gronie specjalistów pod okiem dr Marisy Santos, stając się swojego rodzaju „uniwersytetem w chmurze”. Podczas tych spotkań omawiane są wyniki leczenia dotychczasowych pacjentów oraz kolejne plany leczenia pacjentów rozpoczynających leczenie.
NAJBLIŻSZE KURSY
2 i 9 pażdziernik 2025
4 pażdziernik 2025, 22 listopad 2025, 24 styczeń 2026
28 maj 2025
22 listopad 2025
24 styczeń 2026
KSIĄŻKI

Książeczka „Jak dzieci” powstała z myślą o dzieciach, które mają zostać leczone przez zespół interdyscyplinarny. To pierwsza książeczka, która w prosty sposób tłumaczy kim jest logopeda, osteopata oraz czym jest aparat, nazywany w książeczce „żuczkiem”, który pomaga poszerzyć podniebienie. Dzięki zapoznaniu się z książeczką dzieci łatwiej znoszą pierwszą wizytę oraz cały proces terapeutyczny.

Książeczka interdyscyplinarna. Została stworzona przez nasz zespół w celu ułatwienia komunikacji między lekarzami i terapeutami zajmującymi się dzieckiem w trakcie leczenia. Dla rodziców stanowią ułatwienie, ponieważ nie musza zdawać relacji każdemu specjaliście z tego, co zostało przeprowadzone oraz co jest planowane. Dla dziecka natomiast znajdą sie naklejki motywujące do treningu GOP-ex.
CASE REPORT






Najczęściej zadawane pytania
Czy badanie fiberoskopowe tzw. „kamerką” migdałka gardłowego boli?
Badanie “kamerką” nie boli, ale może być nieprzyjemne. Czasem łaskocze w nosie i prowokuje do kichania. Przy dobrej współpracy nie trwa dłużej niż pół minuty. Młodsze dzieci badane są na kolanach u rodzica.
Od jakiego wieku można wykonać badanie fiberoskopem?
Nie ma dolnej ani górnej granicy wieku, żeby móc wykonać badanie. Ograniczeniem może być grubość kamerki- dla maluszków- niemowląt i małych dzieci są dedykowane cieńsze endoskopy.
Jak przygotować dziecko do badania?
Powiedz dziecku co będzie robione na wizycie. Możesz pokazać film jak wykonywane jest badanie. Na godzinę przed wizytą nie dawaj nic do jedzenia,a bezpośrednio przed wizytą również do picia. Przed wejściem do gabinetu wyczyść nos(wydmuchaj). Zaplanuj nagrody po wizycie.
Pamiętaj, że gorączka i przeziębienie nie są dobrym momentem na ocenę migdałka gardłowego kamerką.Czy pobieranie wycisków boli albo skanowanie jamy ustnej boli?
Nie boli, ale może być nieprzyjemne, szczególnie dla dzieci z nasilonym odruchem wymiotnym.
Jak przygotować pacjenta do pobrania wycisków lub skanowania?
Najlepiej, żeby dziecko było na czczo, bo nawet jeżeli dojdzie do wywołania odruchu wymiotnego, to nie będzie treści żołądkowej w żołądku, która mogłaby zabrudzić ubranie dziecka.
Czy zakładanie aparatu boli?
Nie boli, ale wymaga cierpliwości ze strony dziecka. Zęby muszą zostać oczyszczone, a następnie opłukane i wysuszone. Przy cementowaniu aparatu dolnego szczególnie ważne jest utrzymanie suchości zębów- lekarz często wkłada wałeczki pod język, co wymaga zrozumienia ze strony dziecka. Dlatego dzieci, które trudno znoszą zabiegi w obrębie jamy ustnej lepiej przygotować umawiając wizytę adaptacyjną u higienistki. To zwiększy szansę na poprawne zacementowanie aparatu.